국내 기술력으로 개발된 골형성 단백질 골대체제인 시지바이오의 ‘노보시스’가 멸종 위기의 반달가슴곰을 구했다.
재생의료 전문기업인 시지바이오(대표이사 유현승)는 지난 2018년 멸동위기종인 반달가슴곰의 뼈형성과 뼈조직 재생을 위해 노보시스를 이식 후 야생으로 돌려보낸 뒤 지금까지 추적한 결과 이상소견 없이 자연에 잘 적응하고 있다고 밝혔다.
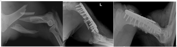
전남대 수의학과 강성수 교수팀은 지난 2018년 버스와 충돌 후 왼쪽 상완골의 비축소성 분쇄골절(non-reducible comminuted fracture of the left humerus)을 입은 반달가슴곰을 야생에서 포획했다.
반달가슴곰이 부상을 입은 상완골은 뼈구조가 복잡하고 두꺼운 근육이 붙어 있어 근육 수축으로 인한 비틀림이 발생하기 쉬워 골절 복구가 어려운 부위다. 특히 곰은 큰 힘을 가해 앞다리를 자주 사용하기 때문에 회복 시 뼈를 단단하게 고정하는 것이 중요하다.
강 교수 팀은 반달가슴곰의 치료를 위해 압축 잠금 플레이트를 이용해 이중 플레이트를 고정하고, 압축 잠금 플레이트에 뼈 형성과 뼈 조직 재생 가속화를 위해 노보시스를 혼합 적용했다. 수술 후 숲에서 재활기간을 거쳐 99일째 무선 송신기를 채워 야생으로 방사했다.
방사 후 경과를 살펴본 결과 첫 30일 동안의 평균 일일 이동거리는 1.3 ± 1.6km, 연평균 커널 홈 범위(kernal home range)는 486.9㎢로 활동 반경이 넓어졌음을 확인했다. 무선 송신기 배터리 교체를 위해 1차 동면(2019년) 시 체중은 143kg였으며, 작년 2차(2020년) 동면에서는 체중이 165kg까지 늘었다. 2번의 조사에서 혈액화학 및 수의학 검사를 실시한 결과 특별한 이상 소견없이 야생에 잘 적응하는 것으로 밝혀졌다.
골절 회복 수술이 성공적이었음을 확인한 국립공원공단 야생동물의료센터와 강성수 교수팀은 반달가슴곰 KM-53의 구조, 수술, 재활과정 및 야생으로 복귀 후 추적 관찰 결과 전체를 담은 논문을 국제 학술지인 ‘BMC Veterinary Research 2021’에 발표했고, 세계적으로 많은 관심을 받았다.
한편, 노보시스는 골 재생 능력이 탁월한 골형성 촉진 단백질 rhBMP-2(recombinant human Bone Morphogenetic protein-2)에 세라믹 기반 합성지지체를 접목시킨 의료기기다. 뼈가 손상되었을 때 인체 내 줄기세포를 골세포로 빠르게 분화시켜 새로운 뼈 생성을 도와주는 역할을 한다. 2017년 6월 신개발의료기기로 식약처 허가 후 2020년 5월 보건복지부로부터 안전하고 유효한 신의료기술로 평가되어 고시됐으며, 올해 4월에는 비급여 치료재료로 등재되어 고시됐다.
시지바이오 유현승 대표이사는 “사람과는 달리 재활 과정을 통제하기 어려운 반달가슴곰이 플레이트 고정장치를 이식하고 있음에도 수술로 인한 합병증 없이 완치되어 야생으로 복귀해 매우 활발한 움직임을 보여 뿌듯함을 느낀다”며 “노보시스가 반달가슴곰의 상완골 하중에도 부작용 없이 골절 치료에 유용하게 적용된 케이스로 향후 다양한 골절 케이스에도 유의미한 결과를 얻을 것으로 기대한다”고 밝혔다.
